
▲黃鴻升遺體送往板橋殯儀館解剖相驗 。(圖/記者李毓康攝)
記者許力方/綜合報導
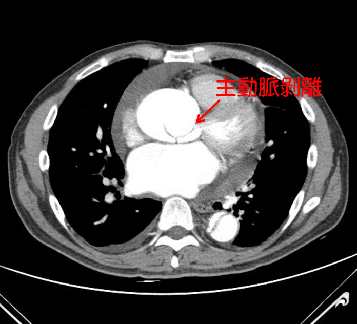
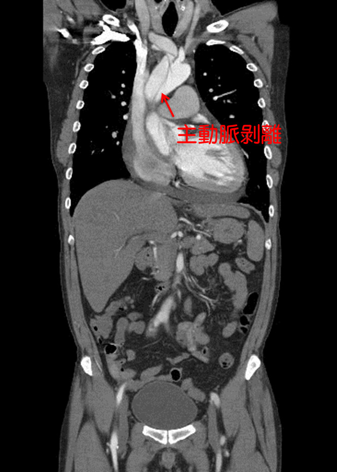
36歲藝人「小鬼」黃鴻升16日趴在家中臥室猝死,震驚全台,解剖後,檢方初判死因是主動脈剝離的心血管問題。急診室醫師說明,主動脈剝離會出現劇烈胸痛,「痛到背後,像被人從後砍一刀」;心臟外科醫師也說,猝死最常見的就是心肌梗塞,「有人連急救時間都沒有」,而主動脈剝離就像剝橘子皮,過程相當兇猛!
檢警18日會同法醫解剖,初步發現有主動脈剝離的狀況,疑似是心血管問題致死,詳細原因仍待法醫鑑定報告出爐釐清。據悉,小鬼2019年初曾被驗出三高,當時他下定決心3個月內靠運動、飲食降下來。

▲小鬼趴在家中猝死,享年36歲。(圖/翻攝自Instagram/aes_alien)
國泰醫院心血管中心部主任兼心臟血管外科主任侯紹敏也坦言,「主動脈剝離就像剝橘子皮」,主動脈市身體最大動脈,負責把心臟的血液通往全身,主動脈硬生生脫離,過程十分兇猛,患者會感覺胸口像被撕開一樣,通常有8成以上都會出現劇烈胸痛(前胸到後背)、呼吸困難、休克暈厥等,有高達50%的病患再發作當下就死亡。
誘發主動脈剝離的原因,侯紹敏指出,包含高血壓、高血脂等危險因子造成的動脈粥狀硬化,另也可能本身條件不佳,如先天主動脈狹窄及馬凡氏症候群等血管內壁組織比較脆弱。主動脈剝離發生有兩個高峰,其中一個較早在於40~55歲中壯年族群,主因在主動脈品質開始變差,一旦出現脆弱,承受不住血管壓力,很可能出現剝離,特別是做激烈運動、血壓又沒有控制好的情況,有可能突然發生。
博仁綜合醫院心臟外科主任蘇上豪表示,造成猝死的最常見原因即為「心肌梗塞」,一般心肌梗塞患者在到院後90分鐘內應接受心導管治療,即所謂的「到院至灌流時間(door-to-balloon time)」,以減少心肌缺血的時間。
蘇上豪指出,最怕的是因心肌梗塞引發「惡性心律不整」,恐連送醫急救的時間都沒有,到院前即OHCA,心臟亂跳使得血液打不出去,失去心輸出量就會快速死亡,也是心臟外科醫師最害怕遇到的疾病。心血管疾病平時症狀也因人而異,有些人1分傷害會出現1分症狀,也有人9分傷害卻一點症狀都沒有,毫無預警是心血管疾病最可怕的地方!
急診室女醫師田知學也解釋過主動脈剝離,因主動脈壁有好幾層結締組織結合而成,如果層與層之間分開,讓血管裡面的血,流到新成立的腔室,這就是主動脈剝離,由於血管已經被剝開,管壁變薄,隨時都會破掉,急診室醫師聽到都會相當緊張。
有關主動脈剝離的症狀,田知學說,會出現劇烈胸痛,從前胸痛到後背,像是有人從背後砍了一刀,病人表現出來都像是受到極刑一樣疼痛,且剝離的情況可能會繼續往下延伸,所以不只是被人從背後砍一刀,可能繼續從上背砍到下背,再延伸到腳上。
▼主動脈剝離過程兇猛,心臟醫:有高達50%的病患再發作當下就死亡。(圖/資料照)


"過程" - Google 新聞
September 18, 2020 at 09:46PM
https://ift.tt/2ZPhBRc
小鬼疑主動脈剝離致死 心臟醫曝「過程兇猛」:一半人當下就死了 - ETtoday健康雲
"過程" - Google 新聞
https://ift.tt/2UsLxyQ
Shoes Man Tutorial
Pos News Update
Meme Update
Korean Entertainment News
Japan News Update
Bagikan Berita Ini
0 Response to "小鬼疑主動脈剝離致死 心臟醫曝「過程兇猛」:一半人當下就死了 - ETtoday健康雲"
Post a Comment